Neck Surgery Edison
Posted 2025-11-12 16:28:05
0
226
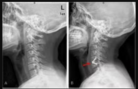
Few diseases are as disruptive and persistent as chronic neck pain, which can cast a long shadow over every aspect of daily life, from working to sleeping. When conservative treatments like physical therapy, medication, and injections fail to provide lasting relief, and the pain intensifies, radiates into the arms, or causes debilitating numbness and weakness, the conversation often turns to a more definitive intervention: Neck Surgery Edison. Far from a simple decision, this intricate field encompasses a range of delicate procedures designed to alleviate nerve compression, stabilize the cervical spine, repair damaged discs, and ultimately restore function and quality of life for those whose very movement has become a source of agony.
Buscar
Categorías
- Paranormal
- Art
- Causes
- Crafts
- Dance
- Drinks
- Film
- Fitness
- Food
- Juegos
- Gardening
- Health
- Home
- Literature
- Music
- Networking
- Other
- Party
- Religion
- Shopping
- Sports
- Theater
- Wellness
Read More
Innovative Polyolefin Shrink Film Technology
When superior packaging performance matters, Polyolefin Shrink Film stands as the ideal...